瓷贴面和正畸是两种常见的牙齿美学修复与矫正方式,前者通过薄层瓷片覆盖牙齿表面改善色泽、形态及轻微间隙,后者则通过施加外力移动牙齿位置,解决排列、咬合等深层问题,近年来,常有“瓷贴面能做正畸”的说法,这其实指向瓷贴面在特定条件下对正畸效果的替代或辅助作用,但其可行性需严格结合口腔状况评估,并非适用于所有牙齿问题。
瓷贴面“做正畸”的本质:美学修复而非牙齿移动
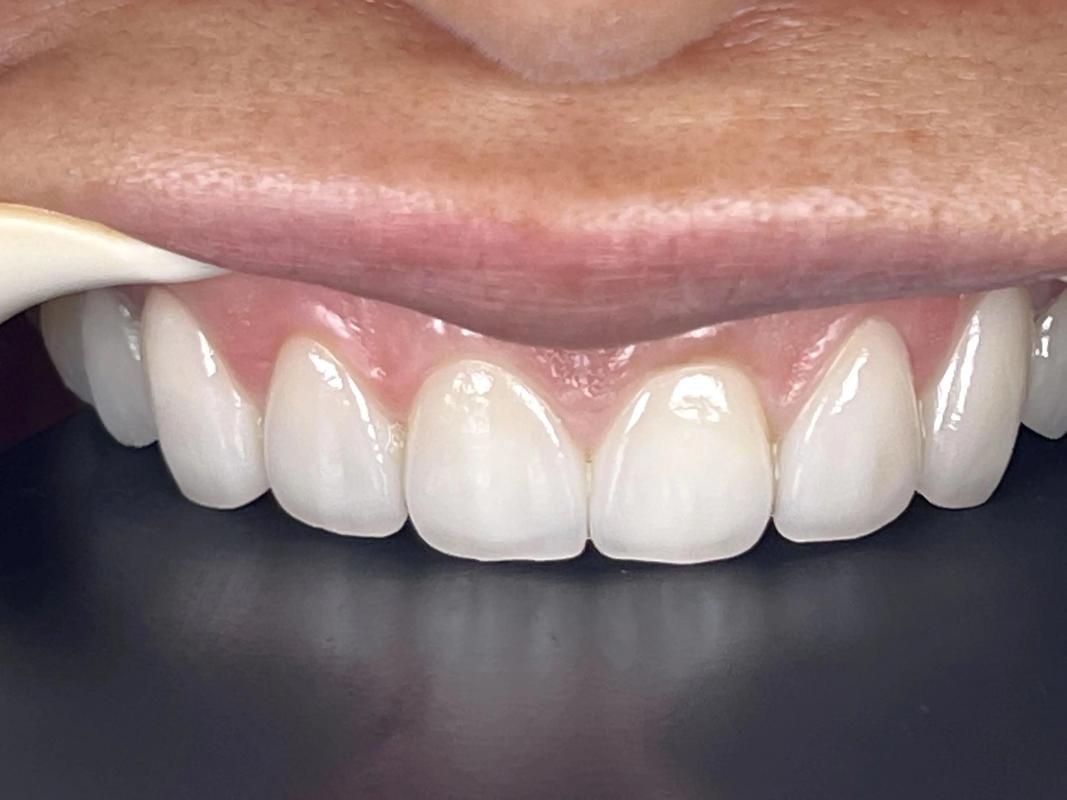
瓷贴面无法实现正畸的“牙齿移动”功能——正畸通过牙槽骨改建,使牙齿在生理范围内重新排列,解决拥挤、错位、深覆合等问题;而瓷贴面本质是“覆盖式修复”,通过磨除少量牙体组织后粘贴瓷片,改变牙齿的视觉形态(如关闭间隙、矫正轻微扭转、改善牙冠长短),但并未改变牙齿的实际位置,瓷贴面能“做正畸”的核心场景,是针对轻微牙齿问题+强烈美观需求的患者,用修复方式模拟正畸效果,避免漫长的矫正过程。

哪些情况下瓷贴面可“替代”正畸?
瓷贴面能否作为正畸的替代方案,需满足两个前提:牙齿问题属于“轻度美学缺陷”,且患者无咬合功能异常或严重牙周疾病,具体适应症包括:
牙齿散在间隙(牙缝)
当牙缝较小(2mm),且牙列整体排列基本整齐时,瓷贴面可通过加宽牙冠视觉宽度“关闭”间隙,门牙间有1-2mm缝隙,无需移动牙齿,只需在贴面制作时将相邻牙齿的邻面适当加厚,即可在视觉上消除缝隙,同时避免正畸可能出现的“黑三角”问题。
轻微牙齿扭转
对于扭转角度≤15°的前牙(如上门牙轻微旋转),若患者不愿接受1-2年的正畸治疗,可通过瓷贴面调整牙冠形态:在扭转的牙齿舌侧/邻面适当加厚瓷片,改变牙齿长轴方向,使其在视觉上与邻牙平行,但需注意,扭转角度过大(>30°)时,贴面边缘易出现不密合,长期可能导致继发龋或脱落。
牙齿形态/色泽异常伴随轻微不齐
若患者同时存在牙齿短小、变色(如四环素牙、氟斑牙)、缺损等问题,且伴有轻微排列不齐(如个别牙齿稍低或突出),瓷贴面可同时解决美观与排列问题,将稍低的牙齿制作得更长、稍突出的牙齿制作得更内收,通过形态调整实现视觉上的“整齐”,无需单独正畸。

正畸后美学 refinement
正畸结束后,部分患者可能存在牙齿边缘不齐、轻微“白垩色斑”或牙冠形态不对称等问题,此时可通过瓷贴面进行精细调整,作为正畸后的“补充治疗”,提升最终美观效果。
瓷贴面“替代”正畸的局限性:并非万能方案
尽管瓷贴面在特定场景下可模拟正畸效果,但其局限性也十分明确,需严格规避风险:
无法解决中重度牙齿问题
对于牙齿严重拥挤(需要拔牙矫正)、深覆合(上牙完全覆盖下牙)、深覆盖(“龅牙”)、反颌(“地包天”)等涉及骨骼或咬合功能的问题,瓷贴面无能为力,此时强行用贴面“修复”,可能导致:
- 牙体磨除过多:为模拟“排齐”效果,需过度磨除健康牙体,引发牙髓敏感甚至坏死;
- 咬合紊乱:贴面仅改变牙齿表面形态,未调整牙齿实际位置,可能造成咬合创伤,导致颞下颌关节疼痛或牙齿松动;
- 美观失真:强行扭转或移动牙齿的视觉形态,可能导致贴面边缘突兀、与邻牙不协调,效果自然度差。
对牙体组织存在不可逆损伤
瓷贴面需磨除牙齿唇侧0.5-1mm的牙釉质,这一过程不可逆,若未来贴面脱落,牙齿将失去釉质保护,易敏感、龋坏,而正畸通过移动牙齿实现排列改善,不损伤牙体组织,长期更健康。

长期稳定性低于正畸
正畸通过牙齿移动实现生理性位置调整,稳定性由牙槽骨支撑;瓷贴面依赖粘接剂固位,长期受咬合力影响可能出现边缘微渗漏、脱落或染色,尤其对于咬合力大的患者(如夜磨牙),贴面风险更高。
瓷贴面与正畸的协同:1+1>2的治疗方案
在更多复杂病例中,瓷贴面与正畸并非对立,而是可协同作用,提升治疗效果:
先正畸后贴面:解决“排列+美观”双重问题
对于牙齿中度拥挤+牙色异常的患者,可先通过正畸排齐牙列(解决功能问题),再用瓷贴面改善色泽、形态(解决美观问题),正畸后牙齿排列整齐但存在“四环素牙”,贴面可覆盖变色牙体,同时微调牙冠形态,达到功能与美观的统一。
先贴面后正畸:特殊情况下的辅助
少数患者因职业需求(如演员、主持人)需快速改善前牙美观,但正畸时间过长,可先制作临时性树脂贴面或超薄瓷贴面,满足短期美观需求,待正畸结束后更换为永久性瓷贴面,需注意,临时贴面需定期检查,避免正畸过程中脱落或损伤牙体。
正畸中贴面:解决“脱矿”等并发症
正畸过程中,部分患者因口腔卫生维护不当,出现牙面脱矿(白垩色斑)、龋坏等问题,此时可在正畸中期或结束后,用瓷贴面覆盖受损牙面,既保护牙齿,又提升美观。
瓷贴面与正畸的适用症对比
为更直观理解两者的选择,可通过表格对比关键维度:
| 对比维度 | 瓷贴面 | 正畸 |
|---|---|---|
| 核心作用 | 美学修复(覆盖、改变形态) | 牙齿移动(解决排列、咬合功能) |
| 适应症 | 轻微间隙、扭转、形态/色泽异常 | 中重度拥挤、错位、咬合异常、骨骼问题 |
| 治疗时间 | 2-3次就诊,1-2周完成 | 1-3年(传统托槽),6-18个月(隐形矫正) |
| 对牙体影响 | 不可逆磨除牙釉质(0.5-1mm) | 无需磨牙(仅粘接托槽) |
| 咬合调整能力 | 无(仅改变视觉形态) | 有(可改善咬合功能,预防关节问题) |
| 费用 | 8000-20000元/颗(根据材质和地区) | 15000-50000元(全口) |
| 适用人群 | 轻度美学问题+拒绝正畸者 | 青少年及成人,中重度功能/美学问题者 |
理性选择,专业评估是关键
瓷贴面能“做正畸”的说法,本质是其在特定轻度美学问题中的替代作用,而非取代正畸的功能性矫正,对于牙齿排列基本整齐、仅需微调美观的患者,瓷贴面可快速实现“视觉正畸”;但对于涉及牙齿移动、咬合调整的复杂问题,正畸仍是唯一解决方案,最终选择需结合口腔检查(X光片、模型分析)、咬合评估及患者需求,由专业医生制定个性化方案——无论是瓷贴面、正畸,还是两者协同,核心都在于健康优先、美学兼顾,而非盲目追求“快速变美”。
相关问答FAQs
Q1:瓷贴面能完全替代正畸吗?
A:不能,瓷贴面仅适用于轻度牙齿美学问题(如小间隙、轻微扭转),无法解决中重度牙齿拥挤、咬合异常(如深覆合、反颌)等需牙齿移动的功能性问题,此类问题若强行用贴面替代,可能导致牙体损伤、咬合紊乱等风险,正畸仍是首选方案。
Q2:做瓷贴面需要磨牙,正畸不用磨牙,哪个更伤牙齿?
A:两者对牙齿的影响不同,瓷贴面需磨除0.5-1mm牙釉质,属于不可逆的物理磨耗,但磨除范围局限在唇侧;正畸无需磨牙,但治疗过程中需移动牙齿,可能伴随牙根吸收(通常轻微且不影响功能)、牙龈萎缩等风险,长期来看,正畸对牙体组织的“损伤”更小,而贴面的风险主要来自磨牙量和粘接技术,需选择正规医院和医生操作。
