牙齿矫正前的拍片是整个治疗过程中的关键环节,能为医生提供全面、精准的口腔结构信息,是制定个性化矫正方案的基础,拍片并非随意进行,而是需要根据患者的牙齿问题、颌骨状况、年龄等因素,选择合适的影像检查类型,通过科学流程获取有效数据,确保矫正安全与效果。
牙齿矫正拍片的核心目的
拍片的核心目标是“可视化”口腔内部结构,帮助医生完成三方面评估:一是牙齿本身的情况,包括牙齿数量、排列位置、萌出方向、是否存在多生牙或埋伏牙、牙根形态及吸收情况;二是牙槽骨与颌骨的状态,评估牙槽骨高度、密度是否支持牙齿移动,判断上下颌骨的发育情况及是否存在颌骨畸形;三是口腔软组织及功能分析,如颞下颌关节健康状况、嘴唇与牙齿的协调关系等,这些信息是肉眼无法直接获取的,也是避免矫正风险、优化方案的关键。

牙齿矫正常用拍片类型及作用
根据矫正需求,医生会组合使用不同类型的影像检查,每种检查各有侧重,以下是常见类型及具体作用:
| 拍片类型 | 成像特点 | 核心作用 |
|---|---|---|
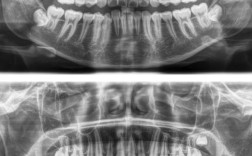
| 全景片(曲面断层片) | 二维影像,显示全口牙齿、牙槽骨、颌骨及部分颌面部结构 | 观察牙齿排列、牙胚发育、牙根形态、牙槽骨高度,发现多生牙、埋伏牙、囊肿等问题 |
| 头颅侧位片 | 二维影像,包含颅骨、颌骨、牙齿、软组织的侧位轮廓 | 分析颌骨前后位置关系(如凸颌、凹颌)、牙齿倾斜角度、面部软组织形态,制定骨性方案 |
| CBCT(锥形束CT) | 三维影像,可360°旋转观察,清晰显示牙齿、牙槽骨、神经血管、关节等精细结构 | 精准定位埋伏牙位置、测量牙槽骨厚度、评估骨量是否充足,辅助复杂病例手术设计 |
| 根尖片 | 二维小视野影像,聚焦单颗牙齿及其周围组织 | 观察牙根吸收、根尖病变、牙槽骨局部破坏情况,判断牙齿移动潜力 |
| 关节片 | 包括许勒位片、髁突经咽侧位片等,聚焦颞下颌关节 | 评估关节结构是否异常,排查矫正中可能出现的关节问题 |
牙齿矫正拍片的详细流程
-
拍片前评估与预约
初次就诊时,医生会通过口腔检查初步判断拍片类型,青少年可能需结合全景片(观察牙胚)和头颅侧位片(评估颌骨发育);成人复杂错颌畸形(如骨性反颌、埋伏牙)则可能需加做CBCT,患者需告知医生是否有怀孕、甲状腺疾病、金属植入物(如心脏起搏器)等情况,避免辐射风险或干扰成像。 -
拍前准备
- 摘除金属物品:包括发卡、耳环、项链、假牙、牙套等,金属物品会产生伪影,影响影像清晰度。
- 清洁口腔:避免食物残渣残留,尤其是拍摄根尖片时,需确保牙齿表面干净。
- 配合指导:儿童或紧张患者,医生会提前说明拍摄过程(如保持静止、咬住咬合板),必要时使用固定装置或镇静措施。
-
拍摄过程
(图片来源网络,侵删)- 全景片/根尖片:患者站立或坐姿,下巴置于托架上,额头贴紧固定架,咬住咬合板,保持10-15秒不动。
- 头颅侧位片:患者侧立于设备前,耳朵与耳塞贴合,眶点与眶托接触,嘴唇自然闭合,拍摄时保持平静呼吸。
- CBCT:患者站立或坐姿,下巴置于 chin 托,额头贴紧固定架,设备围绕头部旋转10-20秒,无需特殊体位。
-
影像解读与方案设计
拍片完成后,医生会结合临床检查和影像数据,分析牙齿、颌骨、软组织的关联问题,通过全景片判断牙根长度是否适合移动,头颅侧位片计算骨骼畸形的角度,CBCT设计埋伏牙牵引路径,最终将影像数据与模型、面型照片结合,制定包含拔牙、扩弓、牵引等步骤的个性化矫正方案。
拍片注意事项
- 辐射安全:常规全景片和头颅侧位片的辐射剂量极低(相当于1-2天自然辐射),CBCT虽剂量稍高,但通过低剂量模式可控制在安全范围,孕妇需严格避免,必要时选择无辐射的超声检查。
- 特殊人群:儿童拍片时,医生会尽量使用低剂量参数,减少辐射暴露;糖尿病患者需提前告知,避免因神经病变影响体位配合。
- 影像保管:拍片结果(含胶片和电子数据)是矫正期间的重要参考,需妥善保管,治疗过程中可能需定期复查(如每6个月拍一次全景片,观察牙齿移动和牙槽骨变化)。
相关问答FAQs
Q1:牙齿矫正拍片有辐射吗?会对身体造成伤害吗?
A1:常规矫正拍片(全景片、头颅侧位片、根尖片)的辐射剂量非常低,远低于一次胸部CT检查,相当于日常生活中乘坐飞机或自然辐射的累积,对人体影响可忽略不计,CBCT的辐射剂量虽高于传统二维片,但现代设备可通过优化算法(如低剂量模式)将风险控制在安全范围内,医生会根据“合理最低剂量”原则选择检查类型,不会对健康造成伤害。
Q2:矫正期间为什么需要反复拍片?是不是过度检查?
A2:矫正过程中反复拍片是必要的监测手段,并非过度检查,牙齿移动过程中,牙槽骨会发生改建(吸收与重建),牙根位置、牙槽骨高度可能发生变化,通过定期拍片(如每3-6个月复查全景片或根尖片),医生可评估牙齿移动是否符合预期,及时发现牙根吸收、牙槽骨吸收等问题,调整矫正力度或方案,避免治疗风险,若发现牙根吸收加重,需减缓移动速度;若牙槽骨高度不足,需暂停加力,确保牙齿长期健康。

