拜博口腔网

  • 种植牙意外断松了怎么办?原因分析、处理与修复方案

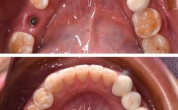
    种植牙意外断松了怎么办?原因分析、处理与修复方案

    紧急处理措施(立即行动)停止使用患牙避免咀嚼任何食物,尤其硬物(坚果、骨头等),防止进一步松动或断裂,如果种植牙完全脱落,保留脱落部分(种植体、基台、牙冠),用生理盐水或清水清洁后浸泡在牛奶中,携带至医院,清洁口腔用温盐水轻轻漱口,清除食物...

    2025-11-18
    46 0 0
  • 牙齿隐形矫正松动正常吗?原因及应对方法有哪些?

    牙齿隐形矫正松动正常吗?原因及应对方法有哪些?

    牙齿隐形矫正松动怎么办?别慌!专家解析原因、应对方法与注意事项近年来,隐形矫正凭借美观、舒适、便捷的优势,成为越来越多牙齿不齐人群的首选,但不少人在矫正过程中会遇到一个“小插曲”——牙齿出现松动,明明戴了牙套,牙齿怎么反而松动了?是不是矫正...

    2025-11-18
    39 0 0
  • 牙齿矫正期松动怎么办?最新处理方法速解!

    牙齿矫正期松动怎么办?最新处理方法速解!

    牙齿矫正过程中出现一定程度的松动是正常现象,因为牙齿需要移动才能排齐或调整咬合,矫正的原理就是通过施加轻微而持续的力量,使牙齿在牙槽骨中移动,移动过程中牙齿会有生理性的松动(就像一棵小树被风吹动一样),如果松动过于明显、伴随疼痛、出血、咬合...

    2025-11-16
    44 0 0
  • 近期种植牙咬东西发软怎么回事?

    近期种植牙咬东西发软怎么回事?

    种植牙咬着发软确实是个需要重视的问题,它可能提示着种植体周围存在一些异常情况,这种情况不应该被忽视,建议尽快联系你的种植牙医生进行复诊检查,以明确原因并采取相应的处理措施,以下是导致种植牙咬着发软的一些常见原因:🦷1.咬合问题早接触或咬...

    2025-11-15
    36 0 0
  • 2025年牙齿矫正过程中松动正常吗?现在该怎么办?

    2025年牙齿矫正过程中松动正常吗?现在该怎么办?

    牙齿矫正过程中出现牙齿松动是非常普遍且正常的现象,这实际上是矫正成功的必要过程,理解这一点非常重要,不要因此过度担心,以下是关于牙齿矫正过程中松动的详细解释:🦷为什么牙齿会松动?牙槽骨的改建(核心原因):牙齿并非直接长在坚硬的颌骨里,而是...

    2025-11-14
    39 0 0
  • 种植牙钉子掉了?刚种好就松动咋办?

    种植牙钉子掉了?刚种好就松动咋办?

    种植牙的“钉子”掉了,这确实是个紧急情况,需要立即联系你的种植牙医生!千万不要自行处理或拖延,以下是关于这个问题的详细说明和应对步骤:📌明确“钉子”指的是什么?种植牙通常由三个部分组成:种植体:这就是植入牙槽骨内的“钉子”或“人工牙根”...

    2025-11-14
    39 0 0
  • 产妇矫正牙齿后牙齿松动?现在怎么办?

    产妇矫正牙齿后牙齿松动?现在怎么办?

    看到你在哺乳期进行牙齿矫正却遇到牙齿松动的困扰,我能理解这种担忧,作为妈妈,既要照顾宝宝又要关注自己的口腔健康,确实不容易,别担心,这种情况虽然需要重视,但通常是可以通过正确处理来解决的,让我来帮你分析一下可能的原因和应对方法:📍可能的原...

    2025-11-14
    39 0 0
  • 2025牙齿矫正还担心松动?最新解答来了!

    2025牙齿矫正还担心松动?最新解答来了!

    牙齿矫正过程中出现暂时性的轻微松动是完全正常且必然的生理现象,但不会导致永久性的、结构性的松动,前提是矫正过程规范、患者配合良好、并且口腔健康,以下是详细解释:🦷1.矫正过程中牙齿为什么会松动?生理性改建:牙齿矫正的核心原理是利用轻柔...

    2025-11-12
    60 0 0
  • 矫正牙齿钢丝松了现在怎么办?

    矫正牙齿钢丝松了现在怎么办?

    矫正牙齿时钢丝松动确实是个需要重视的问题!别担心,这是矫正过程中可能遇到的情况之一,但务必及时联系你的正畸医生,不要自行处理,以下是关于钢丝松动的详细说明和建议:🧐钢丝松动可能的表现和原因弓丝从托槽/颊管中脱出:表现:你能感觉到或看到钢...

    2025-11-10
    40 0 0
  • 现在矫正牙齿真的会松动吗?

    现在矫正牙齿真的会松动吗?

    矫正牙齿(正畸治疗)期间,牙齿确实会经历一个松动的阶段,但这是正常且必要的过程,是牙齿能够移动的基础,关键在于要区分正常的、可控的松动和异常的、需要警惕的松动,以下是详细的解释:🦷1.为什么矫正期间牙齿会松动?(正常现象)牙齿移动的原理...

    2025-11-08
    38 0 0