拜博口腔网

  • 2025北京矫正牙齿医院哪家好?最新推荐靠谱吗?

    2025北京矫正牙齿医院哪家好?最新推荐靠谱吗?

    在北京矫正牙齿(牙齿正畸),选择医院或诊所需要综合考虑多个因素,包括你的预算、牙齿问题的复杂程度、对医生技术的要求、服务体验、地理位置以及是否需要隐形矫正等,北京作为医疗资源丰富的城市,拥有众多优秀的正畸机构,主要可以分为以下几类:🏥一、...

    2025-11-12
    35 0 0
  • 2025牙齿不整齐,当下矫正有必要吗?

    2025牙齿不整齐,当下矫正有必要吗?

    牙齿不整齐是否需要矫正,并没有一个绝对的“是”或“否”的答案,这取决于具体情况、个人需求以及潜在的健康风险,从整体健康和生活质量的角度来看,矫正牙齿不整齐通常是非常值得考虑的,以下是详细的分析,帮助你判断是否需要矫正:🦷一、矫正的主要好处...

    2025-11-12
    34 0 0
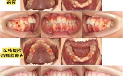
  • 2025矫正牙齿分享,隐形矫正半年效果靠谱吗?

    2025矫正牙齿分享,隐形矫正半年效果靠谱吗?

    🦷牙齿矫正经验分享模板📌1.我的基本情况&矫正原因年龄/性别:(25岁女性/15岁男生)牙齿问题:(具体描述你的牙齿状况)牙齿拥挤不齐、门牙外凸(龅牙)、地包天(反颌)、深覆合、牙缝过大、中线不齐等,(可以附上矫正...

    2025-11-12
    37 0 0
  • 2025矫正牙齿神经会伤牙神经吗?

    2025矫正牙齿神经会伤牙神经吗?

    “矫正牙齿神经”这个说法其实不太准确,但通常指的是在牙齿矫正(戴牙套)过程中,牙齿出现酸痛、敏感或担心神经(牙髓)受损的情况,我来详细解释一下:🦷1.牙齿矫正与牙髓(牙齿内部的“神经”)牙髓是什么?牙髓是牙齿内部的软组织,包含神经、血...

    2025-11-11
    32 0 0
  • 种植牙和矫正能同时做吗?2025最新冲突解答

    种植牙和矫正能同时做吗?2025最新冲突解答

    种植牙和牙齿矫正(正畸)可以同时进行,但通常需要谨慎规划和密切配合,存在一定的潜在冲突和需要特别注意的地方,是否“冲突”以及如何处理,主要取决于缺牙的位置、数量、骨量、矫正的复杂性以及两者的治疗顺序,以下是详细分析:📍核心冲突点空间争夺...

    2025-11-11
    49 0 0
  • 2025牙齿不齐,到底该不该矫正?

    2025牙齿不齐,到底该不该矫正?

    看到你在纠结牙齿矫正的问题,我能理解这种犹豫不决的心情,牙齿不齐确实会让人在微笑或说话时感到不自在,尤其是在社交场合,那种想要隐藏笑容的微妙感觉,我完全懂,但别担心,这是一个值得认真考虑的问题,我来帮你梳理一下思路,看看哪种选择更适合你,🦷...

    2025-11-11
    35 0 0
  • 牙齿开合不矫正,吃饭说话真受影响?别等拖严重!

    牙齿开合不矫正,吃饭说话真受影响?别等拖严重!

    牙齿开合(也称为开颌)是指上下牙齿在咬合状态下,前牙或后牙之间存在间隙,无法正常接触,如果不进行矫正,可能会带来一系列不良后果,影响口腔健康、功能、美观甚至全身健康,以下是主要的影响:🦷1.咀嚼功能下降效率降低:开合状态下,牙齿无法有...

    2025-11-11
    28 0 0
  • 2025矫正牙齿分牙是什么?现在做需要多久?

    2025矫正牙齿分牙是什么?现在做需要多久?

    “矫正牙齿的分牙”是牙齿矫正(正畸)治疗中一个非常重要的前期准备步骤,主要发生在固定矫正器(比如金属托槽、陶瓷托槽)粘接之前,分牙就是在需要移动的牙齿之间,施加一个轻微而持续的力量,人为地制造出微小的缝隙(通常在0.5毫米左右),以下是关于...

    2025-11-11
    35 0 0
  • 成都牙齿地包天矫正

    成都牙齿地包天矫正

    成都牙齿地包天矫正2024全攻略:原因、危害、方法、费用一篇说透在成都这座“颜值经济”蓬勃发展的城市,一口整齐美观的牙齿不仅是健康的象征,更直接影响个人形象与自信,但生活中,不少市民被“地包天”(医学上称为“反颌”)困扰——下牙包住上牙,下...

    2025-11-11
    29 0 0
  • 补完牙现在多久能矫正?最新时间来了!

    补完牙现在多久能矫正?最新时间来了!

    补了牙齿后多久可以开始矫正牙齿,没有一个固定的时间标准,这主要取决于以下几个关键因素:📍1.补牙的范围和材料小面积树脂充填:如果只是很小的龋洞用树脂材料补好了,并且补牙边缘密合、形态良好,通常不需要等待,可以在补牙后立即开始矫正,因为...

    2025-11-11
    32 0 0