拜博口腔网

  • 牙齿矫正图片

    牙齿矫正图片

    我理解你想查看牙齿矫正的图片!由于版权和平台政策限制,我无法直接在这里向你展示图片,我可以详细描述不同类型的牙齿矫正器、矫正过程以及效果,并告诉你如何找到可靠的图片资源,📸牙齿矫正的主要类型和特点(文字描述,便于你想象)传统金属托槽矫正器...

    2025-11-19
    33 0 0
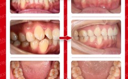
  • 牙齿矫正前后对比图火了!效果到底有多绝?

    牙齿矫正前后对比图火了!效果到底有多绝?

    看到你想了解牙齿矫正前后的对比图片,这确实是个很直观的方式!矫正牙齿带来的变化真的很神奇,不仅能改善牙齿排列,还能提升整个面部的美观度和自信,我来帮你梳理一下怎么找到这些图片,以及需要注意些什么:📷如何找到牙齿矫正前后对比图片专业牙科机构...

    2025-11-14
    47 0 0
  • 2025牙齿矫正前后对比图,变化能有多绝?

    2025牙齿矫正前后对比图,变化能有多绝?

    看到你想了解牙齿矫正前后的对比效果,这确实是个很直观的参考方式!我完全理解你想通过真实案例来感受矫正带来的变化,虽然我无法直接在这里上传图片,但可以告诉你去哪里能找到大量高质量、真实的牙齿矫正前后对比图,以及在看这些图片时需要注意的关键点,...

    2025-11-13
    50 0 0
  • 2025年牙齿内倾矫正前后对比图效果真有这么神?

    2025年牙齿内倾矫正前后对比图效果真有这么神?

    看到你对牙齿内倾矫正前后的图片感兴趣,我能理解你想直观了解这种矫正的效果!牙齿内倾(也叫“内倾型深覆合”)是一种常见的牙齿畸形,不仅影响美观,还可能咬合功能受损,我来详细解释一下矫正前后的变化,并告诉你如何找到相关图片,🦷一、牙齿内倾矫正...

    2025-11-13
    51 0 0
  • 2025最新虎牙矫正前后图对比,效果真的这么神奇?

    2025最新虎牙矫正前后图对比,效果真的这么神奇?

    关于虎牙齿(通常指侧切牙或尖牙位置异常的牙齿)矫正前后的图片,我理解你想直观地看到矫正效果,我无法直接提供具体的图片,原因如下:版权问题:绝大多数专业的正畸案例照片都受版权保护,未经授权不能随意传播,个体差异巨大:每个人的牙齿问题、矫正...

    2025-11-10
    45 0 0
  • 矫正牙齿眍改变脸型?2025最新前后对比太惊人!

    矫正牙齿眍改变脸型?2025最新前后对比太惊人!

    矫正牙齿(正畸治疗)对脸型的影响是很多人关心的话题,尤其是那些希望改善侧脸轮廓或笑容美观度的人,需要明确的是:核心目标是功能与健康:牙齿矫正的首要目标是排列整齐牙齿、改善咬合关系、建立稳定的颌面部功能、促进口腔健康(如便于清洁、预防龋齿和...

    2025-11-10
    34 0 0
  • 矫正牙齿前后图火了?现在矫正效果真的那么明显?

    矫正牙齿前后图火了?现在矫正效果真的那么明显?

    好的!看到你想了解矫正牙齿前后的对比图,这确实是一个能直观展示矫正效果的好方式,矫正牙齿(正畸治疗)可以显著改善牙齿排列、咬合关系、面部美观,甚至口腔健康,由于我无法直接展示图片,但我可以详细描述不同类型牙齿问题的矫正前后变化,并告诉你在哪...

    2025-11-10
    42 0 0
  • 2025年牙齿前突矫正前后变化有多大?对比图太直观!

    2025年牙齿前突矫正前后变化有多大?对比图太直观!

    牙齿前突(俗称“龅牙”)是一种常见的牙齿畸形,表现为牙齿和/或牙弓向前突出,超出正常范围,矫正牙齿前突不仅能显著改善面部美观,还能提升口腔功能和自信心,下面详细对比一下矫正前后的变化:🦷一、矫正前(BeforeCorrection)外...

    2025-11-08
    52 0 0
  • 最新天包地矫正前后照,效果这么快多久能好?

    最新天包地矫正前后照,效果这么快多久能好?

    看到你在关注“天包地”牙齿矫正前后的变化,我能理解你对改善咬合关系和面部美观的期待,深覆合(也就是俗称的“天包地”)确实是个常见的牙齿问题,矫正后的变化确实很显著!由于版权和隐私保护的原因,我无法直接在这里提供具体的个人矫正前后对比照片,但...

    2025-11-06
    53 0 0
  • 2025牙齿矫正前后对比图真能让颜值飙升吗?

    2025牙齿矫正前后对比图真能让颜值飙升吗?

    好的!牙齿矫正前后的对比图是展示矫正效果最直观的方式,这类图片通常能清晰展示牙齿排列、咬合关系、面型变化等方面的改善,📸你可以在哪里找到牙齿矫正前后对比图?正规口腔医院/诊所的官方网站或公众号:很多专业的正畸医生或机构会在其宣传材料、案例...

    2025-11-01
    42 0 0
  • 1 / 2
  • 1
  • 2