拜博口腔网

  • 种牙植骨不成功,身体会有哪些具体表现?

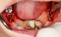
    种牙植骨不成功,身体会有哪些具体表现?

    种牙植骨是针对牙槽骨量不足患者的重要修复手段,但受多种因素影响,部分患者可能出现植骨不成功的情况,植骨不成功的表现涉及症状、体征及影像学改变,需结合术后不同阶段特征综合判断,具体如下:早期表现(术后1-2周)术后短期内,植骨区域可能出现异常...

    2025-12-28
    52 0 0
  • 种牙失败具体有哪几种常见情况呢?

    种牙失败具体有哪几种常见情况呢?

    种植牙(种植义齿)是目前修复缺失牙非常理想的方式,但并非100%成功,失败可能发生在不同的阶段,涉及多种原因,以下是种植牙失败的主要情况分类:术前相关因素(潜在风险)骨量不足或质量差:骨量不足:缺牙区牙槽骨高度或宽度不够,无法为种植体提...

    2025-12-08
    48 0 0
  • Bicon种植牙术后可能出现哪些并发症?

    Bicon种植牙术后可能出现哪些并发症?

    Bicon种植牙系统以其独特的锥形设计和平台转移技术,在种植牙领域享有良好声誉,被认为在减少某些并发症方面具有优势,任何种植牙手术都存在潜在风险和并发症,了解这些风险对于患者做出知情决定至关重要,以下是Bicon种植牙可能出现的并发症,按发...

    2025-11-27
    31 0 0
  • 1 / 1
  • 1