正畸治疗是一个系统性过程,从初诊检查到方案设计,再到矫治器佩戴、定期复诊,每个环节都关乎最终的矫正效果。“分牙”是戴固定矫治器前一个看似微小却至关重要的步骤,它直接影响后续托槽粘接的精准度和牙齿移动的效率,很多患者对分牙感到陌生,甚至担心不适,其实了解其原理和过程后,便能更好地配合治疗。
分牙的定义与目的
分牙,在正畸专业中称为“邻面去釉”或“牙齿间隙预备”,但更通俗的理解是通过特定方式在相邻牙齿之间制造微小的间隙(通常0.2-0.5mm),为后续矫治器的附件(如托槽、带环)预留安装空间,同时调整牙齿间的紧密关系,避免因牙齿拥挤导致托槽粘接后无法正常移动或压迫牙龈,其核心目的有三:一是为拥挤牙齿提供排齐所需的初始间隙;二是为拔牙矫治的患者,通过分牙均匀分配拔牙后的间隙;三是辅助某些特殊病例(如扭转牙、埋伏牙)的精准移动。

分牙的常用方法
目前临床常用的分牙方法主要有分牙圈(橡皮圈)、分牙簧(金属分牙簧)、分牙丝(镍钛分牙丝)三种,每种方法在材料、操作和适用场景上各有特点,具体对比如下:
| 方法名称 | 材料特点 | 操作方式 | 适用场景 | 优点 | 缺点 |
|---|---|---|---|---|---|
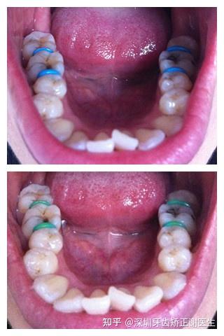
| 分牙圈(橡皮圈) | 医用弹性橡胶,直径3-5mm | 用分牙钳将橡皮圈拉伸后套入相邻牙齿的邻接区,利用弹性压力挤压牙齿产生间隙 | 适用于大多数非拔牙病例,尤其是牙列轻度拥挤、需要少量间隙的患者 | 操作简便、无创、患者适应快 | 可能出现暂时性敏感,个别易脱落 |
| 分牙簧(金属分牙簧) | 不锈钢或镍钛合金丝,呈“U”形或螺旋形 | 医生将分牙簧插入邻接区,利用其持续弹力缓慢撑开牙齿 | 适用于需要较大间隙或牙齿紧密接触的病例,如拔牙后间隙分配、严重拥挤的初步处理 | 间隙控制精准,作用力持久 | 操作稍复杂,可能刺激牙龈,需医生专业放置 |
| 分牙丝(镍钛分牙丝) | 镍钛合金,超弹性记忆性 | 将预成形的分牙丝弯成“C”形,插入邻接区,利用体温激活镍钛丝的持续释放力 | 适用于青少年患者或对疼痛敏感者,尤其适合多颗牙齿同时分牙(如前牙区) | 柔和持续,舒适度高,可批量操作 | 间隙产生速度较慢,对紧密牙列效果有限 |
分牙的具体操作步骤
分牙通常在戴固定矫治器前1-2周进行,具体步骤包括:①术前评估:医生通过口腔检查、X光片或模型分析,判断是否需要分牙及选择合适方法;②隔湿与消毒:用棉球或棉卷隔离患牙区域,避免唾液影响操作,同时消毒邻接区;③放置分牙装置:根据选择的分牙方法,用专用工具将分牙圈、分牙簧或分牙丝精准放置于目标牙齿邻接处;④调整与固定:确保装置位置正确,无压迫牙龈或脱落风险,告知患者注意事项后结束操作,整个过程通常5-10分钟,无需麻醉,部分患者可能有轻微酸胀感,但一般可耐受。
分牙期间的常见问题与应对
①疼痛与敏感:分牙初期牙齿可能出现轻微酸胀、咀嚼不适,甚至对冷热敏感,这是牙齿移动的正常反应,通常3-5天缓解,可避免用患侧咀嚼,饮食温凉,若疼痛剧烈可遵医嘱服用布洛芬;②分牙装置脱落:分牙圈可能因咀嚼过硬食物(如坚果、牛肉干)或意外拉扯脱落,若发现脱落需及时联系医生,必要时重新放置,否则可能影响间隙形成;③牙龈不适:分牙装置边缘可能刺激牙龈,导致轻微红肿,可用温盐水漱口保持口腔清洁,避免刺激牙龈的食物;④牙齿松动感:分牙后牙齿轻微松动是暂时的,间隙形成后会逐渐稳定,无需紧张,避免用牙齿咬硬物或开瓶盖。
分牙的注意事项
①口腔卫生:分牙后牙齿邻接区易嵌塞食物,需使用牙线、间隙刷或冲牙器彻底清洁,避免龋齿或牙龈炎;②饮食禁忌:避免过硬(如坚果、骨头)、黏性(如口香糖、年糕)食物,防止分牙装置脱落或损坏;③复诊时间:严格遵医嘱按时复诊,医生会检查分牙效果,若间隙不足可能需延长分牙时间或调整方法;④特殊情况处理:若分牙后出现剧烈疼痛、牙龈肿胀或装置脱落无法处理,需立即就医。

分牙后的治疗衔接
分牙完成后,医生会通过口腔检查或模型测量确认间隙形成达标,随后进入固定矫治阶段,拆除分牙装置后,牙齿邻面会形成微小光滑的间隙,此时医生会酸蚀牙齿表面,用粘接剂将托槽精准粘贴于牙面,随后结扎弓丝,正式开始牙齿排齐与整平,分牙的质量直接影响托槽粘接的精准度,若间隙不足或过大,可能导致托槽位置偏差,影响后续矫正效率。
FAQs
问:分牙的时候特别疼,是不是医生操作有问题?
答:分牙过程中的轻微疼痛或酸胀感是正常的,因为分牙装置需要持续施加轻微力量使牙齿产生移动,这种疼痛通常在放置后1-2天内达到峰值,之后逐渐缓解,属于生理性反应,并非操作问题,若疼痛剧烈难忍,或伴有牙龈肿胀、牙齿松动异常,可能是分牙装置压迫过大或邻面有龋齿,需及时复诊调整。
问:分牙圈掉了两个,自己能戴回去吗?
答:不建议自行佩戴分牙圈,分牙圈的放置需要专业工具(如分牙钳)确保位置正确,力度适中,自行佩戴可能导致位置偏移、压迫牙龈或脱落,若发现分牙圈脱落,可先暂缓食用过硬食物,用牙线清洁邻接区,并尽快联系医生复诊,由医生判断是否需要重新放置,随意放置可能影响分牙效果,甚至损伤牙齿或牙龈。

