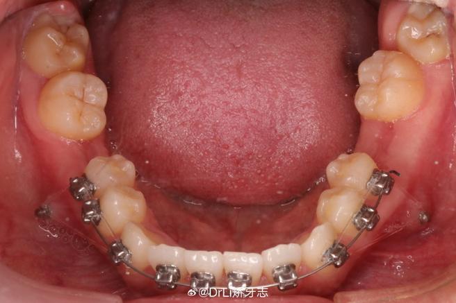
牙齿正畸治疗中,转矩控制是决定牙齿最终位置和咬合功能的核心技术,指通过弓丝与托槽的相互作用,调整牙齿在颊舌向的倾斜角度,确保牙齿长轴与理想咬合平面一致,临床中转矩控制失败并不少见,即牙齿未能达到预设的转矩角度,导致扭转、咬合干扰或面型异常等问题,不仅影响治疗效果,还可能延长治疗时间或增加治疗难度。
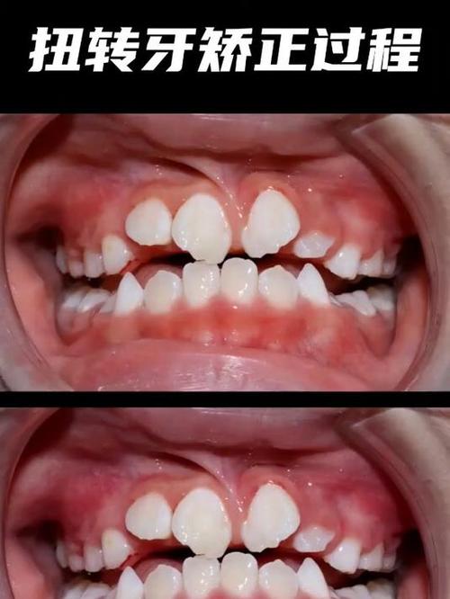
转矩失败的临床表现多样,早期可能表现为牙齿排列异常,如前牙唇倾/舌倾过度、后牙颊尖/舌尖位置偏低;中期可能出现咬合功能障碍,如前牙深覆合、深覆盖加重,或后牙锁合、反合;晚期则可能影响面部美观,如微笑线不协调、颞下颌关节紊乱(如弹响、疼痛)等,上颌侧切牙理想转矩应为冠舌向倾斜,若失败导致唇倾,可能出现“黑三角”或牙根暴露;下颌第一磨牙理想转矩为冠颊向倾斜,失败时可能导致舌尖干扰,引发咀嚼不适。

转矩失败的原因复杂,涉及医生、患者及技术多方面因素,具体可归纳为以下几类(见表):
| 原因分类 | 具体原因 | 临床影响 |
|---|---|---|
| 医生因素 | 诊断不充分(未评估骨骼型、牙齿原始位置) | 转矩目标值设定偏差,与患者实际条件不匹配 |
| 托槽粘贴位置错误(高度、轴角偏差) | 弓丝无法传递有效转矩,牙齿旋转角度不足或过度 | |
| 弓丝选择不当(方丝尺寸过小、材质弹性不足) | 转矩力释放不足,牙齿无法达到理想位置 | |
| 力量控制失误(加力过频、力量过大) | 牙齿周围组织损伤(牙根吸收、牙槽骨吸收),影响转矩稳定性 | |
| 患者因素 | 配合度差(未按时佩戴橡皮筋、口外弓) | 转矩力持续不足,牙齿移动停滞或反弹 |
| 口腔卫生不良(托槽周围菌斑堆积) | 局部牙龈炎、牙槽骨吸收,支抗丧失,转矩效果受影响 | |
| 生长发育影响(青少年颌骨持续生长) | 治疗中期转矩目标需调整,未干预可导致失败 | |
| 牙齿本身条件(牙根弯曲、牙冠形态异常) | 转矩力传递不均,牙齿旋转困难 | |
| 技术因素 | 托槽类型选择错误(普通托槽 vs. 个性化转矩托槽) | 无法精确控制牙齿旋转角度 |
| 弓丝序列使用不当(未按细丝→粗丝、圆丝→方丝顺序) | 转矩力施加时机错误,移动效率低下 | |
| 治疗阶段设计缺陷(未排齐即开始转矩控制) | 牙齿拥挤状态下强行旋转,导致根尖吸收或牙周损伤 |
针对转矩失败,需根据治疗阶段、失败原因及严重程度采取针对性处理,早期发现(如粘接托槽后1个月内)可通过重新定位托槽、更换匹配尺寸的方丝(如0.022英寸托槽配合0.018×0.025英寸方丝)并弯制理想转矩(如上颌前牙冠舌向转矩、下颌后牙冠颊向转矩),配合轻力弹性牵引纠正,中期治疗中出现转矩丢失,需检查弓丝是否变形、托槽是否脱落,若弓丝疲劳则更换新弓丝,必要时使用转矩辅弓(如T型曲、Omega曲)增强局部控制,同时加强患者配合度管理(如指导正确佩戴橡皮筋、强调口腔卫生),晚期转矩失败(如拆除矫治器后发现)需评估是否延长治疗时间,通过保持器(如Hawley保持器附加转矩弹簧)主动维持,或重新粘接托槽二次矫正,严重者可能结合修复治疗(全瓷冠调整形态)或正颌手术。
预防转矩失败需贯穿治疗全程:术前通过CBCT、模型分析精准评估牙齿转矩及牙根位置;治疗中严格规范托槽粘贴技术,使用定位模板确保位置准确,按序列选择弓丝(初始镍钛圆丝排齐,换不锈钢方丝时逐步增加转矩);加强医患沟通,明确辅助装置使用重要性及口腔卫生维护方法,定期复诊及时调整。
FAQs

Q1:转矩失败是不是意味着正畸失败了?
A1:不一定,转矩失败是正畸中的技术问题,并非治疗终点,早期发现并纠正(如调整托槽、更换弓丝)仍可达到理想效果;晚期发现可能需延长治疗时间或二次矫正,但通过积极干预,多数病例仍能获得良好预后,关键在于及时发现原因并针对性处理。
Q2:转矩失败后牙齿会反弹吗?
A2:存在反弹风险,转矩失败导致牙齿位置未达稳定状态,若未纠正,可能因肌肉力量、咬合关系等因素回到原始位置,发现转矩失败需尽快干预,治疗结束后佩戴保持器(尤其带转矩设计的)至少1-2年,定期复查以降低反弹风险。

