拜博口腔网

  • 卡瓦喷砂使用方法视频,新手如何快速掌握操作技巧?

    卡瓦喷砂使用方法视频,新手如何快速掌握操作技巧?

    特定品牌的喷砂设备:“卡瓦”可能是一个喷砂设备制造商的品牌名(如喷砂枪、喷砂罐、喷砂机等),特定类型的喷砂应用或工具:在某些行业或语境下,“卡瓦”可能指代某种特定的喷砂喷嘴、喷砂头或喷砂工艺(例如用于处理管道内壁或特定形状工件的喷砂枪)...

    2025-12-03
    2 0 0
  • 口腔科成形夹临床如何规范使用?新手详细步骤及操作技巧须知

    口腔科成形夹临床如何规范使用?新手详细步骤及操作技巧须知

    口腔科成形夹(也称为成形帽、成形环、成形圈)是牙体修复(特别是前牙美学修复)中非常重要的工具,主要用于在制作修复体(如贴面、全瓷冠、嵌体等)的印模或临时修复体时,精确塑造修复体颈缘的自然形态和高度,形成与牙龈组织和谐过渡的连续边缘,避免悬突...

    2025-12-01
    9 0 0
  • 正畸橡皮圈怎么挂最简单?新手一看就会的技巧!

    正畸橡皮圈怎么挂最简单?新手一看就会的技巧!

    以下是最简单挂法(垂直挂法)的详细步骤:📍核心步骤(以挂在上牙某个挂钩和下牙对应挂钩之间为例)准备:洗干净双手,从包装里取出一个合适大小的橡皮圈(医生会告诉你用哪种型号),对着镜子,张开嘴,露出需要挂橡皮圈的牙齿区域,定位挂钩:在你的上...

    2025-11-29
    16 0 0
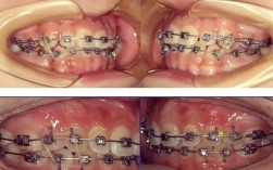
  • 2025矫正牙齿挂橡皮筋?新手必看正确方法!

    2025矫正牙齿挂橡皮筋?新手必看正确方法!

    矫正牙齿怎么挂橡皮筋?手把手教你操作,附常见问题解答很多戴牙套的朋友都遇到过这种情况:医生突然递来一小袋橡皮筋,说“每天挂8-12小时,用来调整咬合”,可拿到手却犯了难——这小小的橡皮筋到底怎么挂?挂反了会怎么样?能不能自己调整?别慌!作为...

    2025-11-16
    49 0 0
  • 1 / 1
  • 1